Bệnh viện Đa khoa tỉnh Ninh Bình vừa thành lập Hội đồng ung thư tiêu hóa với mục tiêu nâng cao chất lượng điều trị ung thư cho bệnh nhân tại địa phương. Hội đồng do BS.CKII. Phạm Anh Tuấn, Phó Giám đốc bệnh viện, làm Chủ tịch và BS.CKII. Nguyễn Thiên Thượng, Trưởng phòng Kế hợp tổng hợp, làm Phó Chủ tịch, cùng các bác sĩ chuyên môn trong các lĩnh vực ung bướu, ngoại tiêu hóa, chẩn đoán hình ảnh, hóa trị, xạ trị, và dinh dưỡng…




✅ Hội chẩn đa chuyên - nền tảng chăm sóc ung thư toàn diện:
- Hội đồng sẽ thực hiện hội chẩn các ca bệnh ung thư tiêu hóa, đặc biệt là những trường hợp phức tạp, nhằm đưa ra phương án điều trị phù hợp. Các bác sĩ sẽ đánh giá chính xác giai đoạn bệnh, lựa chọn phác đồ điều trị, và xác định thời điểm can thiệp thích hợp để tối ưu hóa khả năng sống còn và chất lượng cuộc sống của bệnh nhân.
- Hội đồng sẽ tập trung vào các bệnh ung thư đại tràng, dạ dày, gan, mật và tụy, phân tích toàn diện từ hình ảnh, mô bệnh học, đến nguy cơ tái phát.
- Các quyết định điều trị sẽ được cân nhắc kỹ lưỡng, bao gồm việc lựa chọn thời điểm can thiệp trước mổ, sau mổ, hóa trị hay xạ trị.
- Yếu tố dinh dưỡng, tâm lý và khả năng tiếp cận điều trị cũng được xem xét kỹ để hỗ trợ tối đa cho người bệnh.
📌 Ca bệnh điển hình:
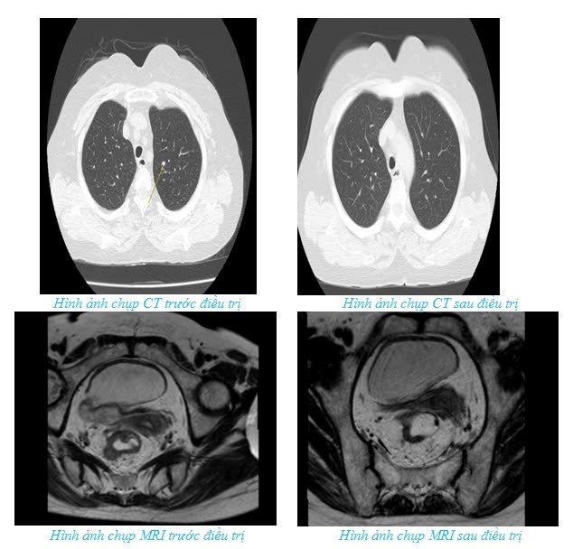
Một ví dụ nổi bật là bệnh nhân 62 tuổi được chẩn đoán ung thư trực tràng giai đoạn IV với di căn phổi. Trước đây, bệnh nhân này có thể chỉ được điều trị triệu chứng hoặc hóa trị toàn thân với tiên lượng dè dặt. Tuy nhiên, sau khi được hội chẩn tại Hội đồng ung thư, các bác sĩ quyết định sử dụng phác đồ TNT (total neoadjuvant therapy), nhằm thu nhỏ khối u và kiểm soát di căn. Sau 4 tháng điều trị, bệnh nhân có sự cải thiện rõ rệt với khối u tại trực tràng thu nhỏ và không còn di căn phổi.
Bệnh nhân tiếp tục được điều trị hóa xạ trị tiền phẫu và tiến hành phẫu thuật triệt căn. Sau khi điều trị, bệnh nhân có thể quay trở lại sinh hoạt bình thường.


💬 Thông điệp từ bệnh viện:
Bệnh viện nhấn mạnh rằng mỗi bệnh nhân ung thư là một cá thể đặc biệt và hội chẩn đa chuyên giúp điều trị không chỉ đúng bệnh mà còn đúng người, đúng thời điểm. Hội đồng ung thư tiêu hóa của bệnh viện khẳng định vai trò tiên phong trong việc ứng dụng y học chính xác, phối hợp liên chuyên khoa và nâng cao chất lượng điều trị ung thư tại địa phương, giúp bệnh nhân không phải chuyển tuyến.